Reabilitação Estética do Sorriso
- grupoplus10
- 25 de mai. de 2018
- 1 min de leitura

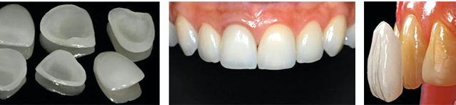
As chamadas "Lentes de Contato Dentais", são atualmente um grande sucesso na Odontologia Estética.
São lâminas de porcelana ultrafinas, que com um procedimento minimamente invasivo, possibilitam a melhora da estética e autoestima dos pacientes que buscam um sorriso mais bonito e harmonioso, corrigindo as discrepâncias de tamanho e forma dos dentes, sem a realização de desgastes na estrutura dentária.
O tratamento é realizado da seguinte maneira:
1 - Avaliação inicial, realização de fotografias, moldagem para análise e elaboração do plano de tratamento.
2 - Preparo do sorriso no modelo de gesso e transferência das alterações para o paciente, no que chamamos de test drive do sorriso, onde o paciente ira visualizar as alterações de forma provisória em sua boca, tendo uma prévia do resultado final.
3 - Envio das alterações definitivas para o laboratório, para a confecção das lâminas de porcelana.
4 - Instalação dos laminados e ajuste.

Clique aqui e agende já sua avaliação e viva a felicidades de um sorriso saudável e harmônico!




Comentários